-
阴超检查注意事项并不多,做好4点结果准确度upup!
阴超作为一种常见的检查形式,由于需要将探头放入阴道内,所以要注意的地方也有许多,要不然有可能会影响到检查结果的正确性,下面相因网为众人详细总结了关于阴超检查前后注意事项,各位姐妹可以参考一下。 临床上使用阴道超声于各个范围 最初是时间的选择,一般建议是月经清洁后的三日至七日检查相比好,要是想要确定是否为宫外孕以及孕囊的大小情况,则需要在月事超越一星期将来正进行,如果是像通过阴超了解是否是患有妇
王医生
83 浏览
2025-09-25 15:56:07 -
去医院做阴超检查对怀孕初期胚胎有什么不好的影响吗?
怀孕初期,许多准妈妈会面临是否需要做阴超检查的困惑。阴超(阴道超声)作为一种常见的产前诊断手段,能早期发现宫外孕、胎停育等问题,但不少孕妇担心这种检查会影响胚胎发育。事实上,阴超的安全性已得到广泛验证,其声波能量远低于可能致畸的阈值,且无电离辐射风险。本文将从医学原理、临床研究及注意事项等方面,详细解答这一疑虑。作为妇产科医生,每天都要解答这类疑问。先说结论:正规操作的阴超检查不会伤害胚胎,我们从
张医生
3 浏览
2025-09-25 11:01:26 -
促排期间查卵泡破没破做彩超还是阴超比较好?
沭阳医院试管成功率在本地来说,或是特别高的,可以达到50%左右,其中1代试管婴儿,选用精卵自在体外结合的形式,成功率约45%~50%。2代试管婴儿选择使用了单精子注射的方式,有效提高了试管成功率,在50%左右。通常情况下,促排期间做阴超检查比肚子彩超检查更好一些,无论是监测卵泡发育或是查卵泡破没破等,同是如此。阴超检查时探测仪差别卵巢更近,展现出来的图像就越发的清晰,尤为是对于肚子脂肪比较厚的女性
马医生
718 浏览
2025-06-13 02:00:03 -
试管流产后多久能做阴超,流产手术后多久可以做试管!
试管流产后一般需要等待1-2周才能进行阴超检查。阴超的作用阴超是一种常用的检查手段,通过超声波探测器插入阴道,可以清晰地观察子宫、卵巢和其他盆腔器官的情况。在试管流产后进行阴超可以帮助医生认定子宫内膜是否已经排空,以及肃清可能存在的感染或不同寻常情况。注意事情在进行阴超之前患者应该遵医嘱停止任何药疗,并且防止性生活。同时应该注意保持私处清洁,减少感染的风险。如若在手术之后出现异常表现如长久性下腹痛
唐医生
88 浏览
2025-05-02 01:24:05 -
妊娠八周胎停了怀孕12周去医院做阴超检查才发现该怎么办?
八周胎停了12周才发现一般会立即手术终止妊娠。若胚胎长时间滞留于子宫内,将引发子宫内膜硬化,并逐渐与子宫壁粘连。如果不及时处理,可能引发子宫内膜炎和宫腔内感染等并发症,对后续治疗产生不良影响。因此,一旦确诊,患者应及时接受医生的指导并进行手术处理,手术方法可采取刮宫术,以取出胚胎。胎停是指胚胎或胎儿在子宫内停止生长发育,但没有立即自然排出体外的情况。这种情况通常发生在孕早期,尤其是在前三个月。胎停
刘医生
334 浏览
2024-09-29 17:35:37 -
试管移植囊胚前做阴超检查显示子宫连续性差还能继续手术吗?
阴超显示子宫连续性差一般不建议立马做试管移植手术。这是因为子宫连续性差意味着子宫内膜层可能不够完整或健康,从而影响到胚胎的正常着床过程。如果子宫内膜受损或存在粘连,胚胎将难以找到合适的着床位置,导致移植失败的风险增加。而且即使胚胎成功着床,子宫连续性差也可能增加早期流产的风险。因为不完整的子宫环境无法为胚胎提供足够的营养支持,使其难以维持正常的发育。在试管婴儿(IVF)治疗过程中,阴超检查是一项重
韩医生
479 浏览
2024-09-26 17:36:30 -
网上有不少姐妹说去医院监测卵泡千万不要做阴超这是为什么呢?
测卵泡做阴超可能会有感染等风险。尽管阴超是一种相对安全的检查方法,但频繁进行仍可能带来一些潜在风险,就比如阴超需要将探头插入阴道进行检查,频繁的物理刺激可能导致阴道或宫颈的不适,甚至损伤。虽然每次检查前都会对探头进行消毒,但频繁检查仍可能增加感染的风险。阴超,即经阴道超声波检查,是一种通过阴道将超声探头插入体内,直接对子宫、卵巢等盆腔器官进行检查的方法。这对于检测小的卵巢囊肿、早期妊娠以及卵泡的发
刘医生
257 浏览
2024-09-23 17:33:26 -
孕中期做b超和阴超哪个对身体伤害大呢?
孕中期做阴超对身体伤害大一点。因为阴超是将探头放入阴道内进行检查,对于一些敏感的孕妇,可能会引起不适,如轻微的疼痛、阴道少量出血等,在孕中期如果操作不当,可能会增加感染、刺激子宫引起宫缩等风险,b超是通过超声波对人体进行检查,没有辐射,对孕妇和胎儿基本没有危害。b超是指通过腹壁检查,阴超是指通过阴道检查,阴超比腹部b超分辨率更高,但是孕中期做阴超对身体的潜在风险相对大一些,一般情况下孕中期较少使用
刘医生
832 浏览
2024-09-19 15:20:48 -
在公立医院做一次阴超检查准备100元够吗?
在医院妇科做一次阴超检查大约需要花费150元。阴超检查的费用并不是固定的,会受到医院级别、不同地区、所用机器、检查项目等因素的影响。一般来说,如果前往大型医院进行阴超检查,那么费用就会相对较高,而如果是到小医院进行阴超检查,相应的费用就会比较低。大家如果需要做阴超检查的话,最好选择正规的医院进行。1、医院级别:普遍来说,大医院比小医院的费用要贵一些,医院的级别越高,规模越大,阴超检查费用就会比较高
邓医生
99 浏览
2024-09-07 11:07:11 -
为什么现在怀孕初期医生都建议第一次检查做阴超不做b超呢?
怀孕初期做阴超比b超更能准确诊断怀孕情况。由于阴道超声探头与子宫的近距离,其能够生成更高分辨率的图像,特别是在早期妊娠阶段,怀孕时间短,胚胎体积也比较较小且结构未完全发育时,这种时候阴超的高清晰度成像的重要性尤为显著。阴道超声是通过将超声探头插入阴道内部,接近子宫和附件区域进行的检查,而腹部超声则是将探头置于腹部皮肤表面进行检查,怀孕初期建议阴超检查则是因为它有更高的图像清晰度、可以更早检测出怀孕
康医生
751 浏览
2024-06-21 17:45:30 -
阴超看见黄体说明已排卵还有必要今天继续同房吗?
阴超看见黄体说明已排卵如果不想错过一丝怀孕机会今天就有必要继续同房。阴超检测到黄体后,通常意味着已经排卵,但仍有受孕的机会,因为排卵并不是立即发生的事情,而是在黄体形成后的24至48小时内发生。因此,虽然阴超检测到黄体,但仍有一段时间内可能发生排卵,因此今天继续同房,可以最大程度地增加受孕的机会。虽然已排卵,但精子在女性生殖道内可以存活数天,而卵子能在输卵管内存活约24小时。因此,如果您在黄体形成
刘医生
376 浏览
2024-05-17 14:36:08 -
测卵泡千万不要做阴超是因为会导致阴道炎的发生吗?
测卵泡做阴超会导致阴道炎的发生,这是因为阴道B超会用探头反复进入阴道,就很容易引发阴道炎等细菌以及病毒的感染,而且阴道B超的探头还含有一定的药物,如果女性对此药过敏,还会导致阴道红肿以及瘙痒等症状,不仅如此,B超的探头进入阴道还会刺激宫颈,给阴道带来疼痛和不适感,所以建议大家可以采取腹部B超监测排卵情况。阴超是通过阴道来进行检查,将探头放进阴道里,可以监测卵泡的情况以及一些妇科疾病,所以很多女性都
罗医生
49 浏览
2024-05-17 10:47:31 -
多囊查基础卵泡数量是做b超还是阴超更准确些呢?
做阴超,因为阴超是将超声探头放入患者阴道进行观察和诊断,和B超相比不会受到腹壁厚度影响,而且不需要憋尿,能够减轻憋尿痛苦,最主要的是由于阴超更接近子宫和卵巢,所以成像清晰,分辨率也很高,所以检查出来的结果也会更加的准确,如果大家想去查基础卵巢数量的话建议选择阴超。正常情况下,女性每个月会有3-11个基础卵泡,而随着年龄的增长,数量会逐渐下降,卵泡数量越少、自然怀孕率越低,所以基础卵泡数量与年龄是息
颜医生
23 浏览
2024-05-16 16:12:35 -
为什么现在大医院都给孕妇做阴超而不做b超了?
因为阴超相对来说准确度更高,b超检查结果干扰因素很多,一般因为B超通过腹部来观察盆腔内的情况,但女性腹壁脂肪较厚,导致清晰度没有阴超这么好。所以对于孕期做产检,医生都会开做阴超,以此来获取到更加准确的胎儿发育情况。B超和阴超有一定的差异,但都属于超声检查,检查本身对于孕妇的身体和胎儿是没有任何影响和伤害的。怀孕期间选择做阴超也具备更清晰、确定妊娠位置和判断胎儿是否存在异常情况等优势。1.检查结果更
史医生
98 浏览
2024-05-16 15:55:22 -
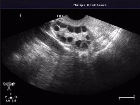
月经后三天阴超监测卵巢一侧有10多个卵泡算是多囊吗?
一侧卵巢有10多个卵泡并不一定算是多囊卵巢综合征。多囊卵巢综合征的诊断需要综合考虑多个方面的因素,包括月经异常、高雄激素血症、卵巢形态学表现(如卵巢体积增大,卵巢内直径2-9mm的卵泡数≥12个),以及排除其他可能引起高雄激素和排卵异常的疾病等。因此,月经后三天阴超监测到一侧卵巢有10多个卵泡,并不能直接诊断为多囊卵巢综合征。随着环境和生活方式的改变,多囊卵巢综合征(PCOS)已成为一种常见的妇科
张医生
18 浏览
2024-05-16 10:22:57 -
为什么会有女性在监测卵泡的时候千万不要做阴超这种说法?
有女性在监测卵泡的时候千万不要做阴超这种说法的原因是B超探头会经由阴道进行检查,会产生一定的疼痛感,此外,在监测卵泡的时候做阴超稍有不慎就可能会对身体带来一定的损伤,阴道彩超检查需要将探头放入女性的阴道,如果在检查时没做好消毒工作,检查时容易引起感染,可能会导致阴道炎、宫颈炎等疾病发生,操作不当还会导致患者出现异常的阴道流血。实际上,在进行卵泡监测时,常常使用阴道超声来观察和测量卵泡的大小和发育情
董医生
41 浏览
2024-05-16 09:18:30 -
为什么有不少人说监测卵泡千万不要选择做阴超呢?
测卵泡千万不要做阴超是由于容易导致感染、不适感等引起的,虽然阴道超声是一种无创的检查方法,但是插入探头的过程可能会引入细菌,增加感染的风险。此外,如果探头不干净,也可能导致感染。虽然阴道超声是无痛的,但是对于一些人来说,插入探头可能会引起不适感,这种感觉通常是暂时的,但是在一些极端情况下,可能会导致疼痛或出血。阴超是一种超声检查技术,这种检查方法可以更准确地了解女性的卵巢和子宫情况,包括卵泡的发育
杨医生
45 浏览
2024-05-15 15:14:38 -
35岁做阴超检查出有良性囊肿会影响做三代试管吗?
做阴超有囊肿可能会影响试管,如果是病理性囊肿的话,如巧克力囊肿和卵巢黏液性囊肿可能影响卵巢的正常功能,降低卵子质量和数量。此外,大囊肿以及恶性肿瘤可能还需要手术切除,这也就会影响试管婴儿的进程。但是如果是生理性囊肿的话那么通常不会产生负面影响。阴超检查是一种常见的妇科检查手段,用于观察女性生殖系统的结构和功能,对于准备做试管的女性检查出囊肿的时候,就会担忧会不会影响到试管婴儿的治疗,具体是否会影响
林医生
20 浏览
2024-05-15 10:40:34 -
试管胚胎移植28天后一超是做阴超还是腹部b超呢?
阴超是更常见和推荐的方式。因为阴超的图像质量更高,能够更清晰地观察到胚胎的早期发育情况。阴超是将超声探头放入阴道内进行检查的方法。而腹部B超则是通过腹部皮肤进行的检查。因此,在试管胚胎移植后的早期,医生通常会采用阴超的方式进行检查,当然,每个人的情况不同,最终的选择应该根据医生的建议而定。试管胚胎移植(IVF)是一种辅助生殖技术,帮助许多不孕不育的夫妇实现生育梦想。在试管胚胎移植后,医生会安排一系
罗医生
73 浏览
2024-05-14 18:58:48 -
为什么医生让我来例假时去医院用阴超查卵泡?
由于要进行排卵监测、卵子采集或者卵巢囊肿检查等原因,医生会让我来例假时去医院用阴超查卵泡。在例假时,卵巢内因为卵泡尚未受到排卵的影响,处于相对静止状态,便于医生观察和测量卵泡的大小和数量。且如果是不孕者在例假期间检测卵泡情况,可以帮助医生确定最佳的时间进行卵子采集手术以及制定相应的治疗计划。医生要求在例假期间进行阴道超声检查以查看卵泡的原因通常与女性生殖系统的生理周期和排卵过程有关,这种方法可以提
徐医生
55 浏览
2024-05-14 18:03:25
-
试管婴儿周期中阴超检查的时间安排与实战指南
在生殖中心候诊区,总能看到姐妹们拿着检查单小声讨论:「今天又要做阴超了」。这种高频出现的检查项目,实则是试管婴儿周期中的「导航仪」。2023年北京协和医院生殖医学中心数据显示,单周期平均需进行6-8次阴道超声监测,每次检查仅需5分钟却能获取20余项关键数据。一、精准到小时的检查时间窗月经第2-3天的首次检查堪称「起跑线定位」,此时子宫内膜最薄,能清晰观察基础卵泡数量。记得去年有个案例,李女士在月经
113 浏览
2025-05-20 17:10:31 -
盘点囊胚移植后做阴超的好处,确认移植结果只是其中之一
囊胚移植后进行阴超检查(简称阴超)是人类辅助生殖技术中的一项重要步骤,它并非仅能够确认移植是否成功,还具有多方面的利益。下列是囊胚移植后做阴超的主要利益:1. 确认妊娠状态阴道超声能够清晰地显示子宫内是不是有孕囊变成,这是评价移植是否成功的最直接证据。通过早期检测,医生可以及时了解胚胎着床情况,为后续医治策略提供依据。2. 评估胚胎发育情况除了确认妊娠外,阴道超声还能评估胚胎的发育状况,如观察胚芽
766 浏览
2025-04-24 12:16:08 -
美国试管婴儿相关的激素六项、阴超检查你知道吗
美国试管婴儿相关的激素六个项目和阴道超声检查是辅助生育技术中极其重要的评介手段,目的在于全方位认识女性的生殖健康状况,保障试管婴儿的成功率。下面列举是关于这两项检查的仔细描述。激素六项检查激素六个项目检查主要囊括下面列举几种激素的检查:1. 促卵泡生成素(FSH):FSH是由脑下坠体分泌的激素,核心作用是推动卵巢中的卵泡发育。FSH水平可以反应卵巢机能的情况。平常在例假周期的第两到三天进行量测,以
1190 浏览
2025-02-23 22:56:03 -
详解b超和阴超两项检查的区别,带你看看哪种更伤女性身体
b超与阴超并不存在哪个伤害性更大这样的言论,原因在于b超检查和阴超检查是两种各异的检查,其检查方式均是借助超声波来对人体展开检查的,不存在伤害性方面的差别,仅有检查方式、检查效果以及检查注意事项上的不同。我们在决定做b超还是阴超的时候,切不可听信非专业的话语,去认定b超和阴超都会对身体形成伤害,这种说法是不正确的。b超和阴超的区别1、b超检查b超检查指的是经由腹壁展开的检查,通常需憋尿之后方能进行
193 浏览
2024-06-11 15:59:12 -
为什么现在怀孕前三个月去医院做检查都做阴超不做腹部b超?
怀孕前三个月做检查都做阴超不做腹部b超是因为阴超有更好的清晰度和准确度。腹部b超检查结果干扰因素很多,清晰度没有阴超这么好,阴超对子宫卵巢的疾病检查诊断更加准确,能够更详细地观察到妇科器官的结构和异常情况。阴超能更敏锐地检测到女性处于怀孕的状态,可以提高检查的准确度,以及是否出现妇科疾病等情况,阴超检查通常只会有轻微的不适感,阴超检查对于较小的病变显示较清晰,下面具体说说为什么怀孕去医院选择做阴超
32 浏览
2024-05-14 17:22:35
-
阴超检查过程真实记录,从开始到结果1分钟左右搞定
女性怀孕随后身体不适是很惊险的,尽管只是微细的腹泻,亦可能会影响到宝宝的发育情况,而且拉肚子的时候又将会分泌前线腺素,它很容易引发女性宫缩,从而导致早产赶早产,至于怀孕的女性来说,必须要学到及时止泻,如此才能确保宝宝正常发育。网上总归有人说阴超检查很恐怖,以致尚有可能会遇见男医生,很难联想这便是何种狼狈的局面,以致有单方面预备检查的女性产生抗拒心理,然后真实况况终归如何,相因网为所有人揭秘阴超检查
730 浏览
2025-06-15 18:56:07 -
月经期前可以查尿吗,阴超能查出月经要来吗
月经期前可以查尿吗?阴超能查出月经要来吗?而对于要接受激素六个项目检查的女性朋友而言,无妨在月经来潮的3到五日后再接受检查,身体特征趋于平稳,即使出现偏高,医生也能够准确判断。除此之外此时是卵泡期早期,女性朋友如若在此时接受检查,可以详细判断卵巢的实际情况,但是在接受检查前要详细告知医生,此时例假来潮。好定期体检,这至于身体健康而言是非常关键的。首先至于月经量少的女性朋友而言,是可以在月经期间进行
691 浏览
2025-04-28 11:32:05 -
阴超检查后出血有异常!弄清原因避免疾病绕身
阴道超声检查后平常是不会产生流血局面的,特别是怀孕女性去医院做这个类检查,要是有流血的情况哪样要引发在乎,像这类局面要思索的要点有许多,临床上多与阴道炎症关联,须要实时用药处置,省得致使严重的结果。 阴道超声后流血为不通常情况 阴道超声后流血在临床上称之为触碰性流血,与女性宫颈的慢性炎症、瘜肉要不因为宫颈上皮的病变、初期宫颈癌以及阴道炎症等要点关联,因而这种病症引发的流血就归属于反常的局面,须
1977 浏览
2025-03-31 10:56:02 -
阴超可以检查哪些问题?宫外孕、多囊卵巢均在其列
阴道超声是一种通过阴道进行检查的B超,再次被称之为腔体内B超,是通过将探头植入阴道或直肠的形式进行检查,相比较较于保守的肚子B超所能展现的图像更加明了,所能提供额结果亦是特别正确的。阴道超声通过阴道检查只合适曾经有夫妻生活的人群,而没曾经有夫妻生活的人群就只可通过直肠进行检查,二者之间成效没有所区别。如此,阴道超声可以检查哪些问题?异位妊娠、多囊卵巢均在其列 1阴道超声可以检查哪些问题?异位妊娠、
1343 浏览
2025-03-15 04:32:04 -
例假干净后一天两个医生做阴超测量内膜厚度会有误差吗?
无论是阴超还是彩超测量内膜厚度都会有误差,基于检测人员的技术、设备的差异(包括超声波机器的分辨率)都会造成测量内膜的误差,其厚度误差多大1.5mm,此外子宫内膜厚度在不同时期的厚度也是有所不同的,由于子宫内膜会在生理期内脱落,所以月经前和月经后的厚度也有所不同,对此也不用过于担心,医生会根据不同需求、不同症状进行个体化诊断和治疗。内膜厚度测量会不会有误差子宫内膜对于受精卵着床有着深远意义,无论是过
103 浏览
2024-07-31 10:25:13

